& ORTHODONTIC CLINIC
& ORTHODONTIC CLINIC
矯正担当医がきめ細やかに対応いたします
土曜日:9:00~12:30 / 13:30~16:30
休診日:水曜日・日曜日・祝日
※祝日のある週のみ、水曜も診療
- 自分の歯並びに自信がない
- 矯正治療したいが迷っている
- 治療期間や費用、痛みなどが気になる
- 治療実績のある歯科医師に相談したい
TROUBLE こんなお悩みありませんか?
歯並びに自信が持てない
歯並びが気になってしまう
感じることがある
歯並びが影響しているように思う
むし歯や歯周病が心配
負担を感じることがある
不安を抱えている
足りるかどうか気になる
見た目の歯並びが心配
顎の成長に影響しないか不安
悪影響を与えているのではと気になる
むし歯になりやすいのではと心配
わからない
影響しているように感じる
REASON 当院の矯正が選ばれる理由
いつでも相談できる安心感
当院では、矯正を専門に学んだ副院長が常勤しているため、治療中の装置トラブルや気になる症状があっても、その場で迅速に対応できます。
矯正治療は長い期間にわたるため、日常の中で小さな不安や疑問が出てくることも少なくありません。
そんな時にもすぐにご相談いただける環境を整えているので、患者様は安心して治療を続けていただけます。
将来の歯の健康までを考えた治療をご提案
当院ではセファロやCTを使って骨格や歯の状態を細かく分析し、一人ひとりに合った治療計画をご提案します。
見た目の改善だけでなく、噛み合わせや将来の歯の健康までを考えた治療を大切にしています。
目先の矯正だけでなく、長く安心して笑顔で過ごせるようにサポートします。
寄り添った診療
副院長は二児の母でもあり、子を持つ親だからこそわかる気持ちや悩みに寄り添った診療を心掛けています。
お子様が安心して治療を受けられるように配慮し、保護者の方にも納得していただけるまで丁寧に説明を行います。
親としての視点を大切に、お子様の未来の歯並びを一緒に見守ります。
一つのクリニックで
矯正治療だけでなく、むし歯治療やクリーニング、矯正後の補綴や審美治療までトータルで対応しています。
矯正中に起きやすい口腔トラブルや日々のメンテナンスも同じ医院で行えるので安心です。
矯正と一般歯科が一緒だからこそ、お口全体の健康を見据えた治療を提供できます。
MERIT 矯正のメリット
自信が持てる
歯並びや口元が整うことで、笑顔に自信が持てるようになります。
写真や人前で話すときにコンプレックスを感じにくくなり、表情や立ち居振る舞いも自然と明るくなります。
体の負担を軽減
正しい噛み合わせに近づけることで、顎関節や肩・首への余計な負担を和らげます。
長年の食事のしづらさや頭痛・肩こりが改善される場合もあり、全身の健康維持につながります。
リスクを減らせる
歯並びが整うことで歯ブラシが届きやすくなり、磨き残しが減ります。
その結果、むし歯や歯周病の予防につながり、長期的にご自身の歯を守ることができます。
よりスムーズに
前歯の位置や噛み合わせが改善されることで、発音がはっきりしやすくなります。
会話やプレゼン、接客業務など人と話す機会の多い方にとって、大きなメリットとなります。
健康を守れる
噛み合わせの乱れは特定の歯に負担をかけ、将来的に歯の寿命を縮める原因になります。
矯正治療はそのリスクを減らし、生涯にわたり自分の歯で食事を楽しむための大切な投資です。
スペースを確保できる
顎の成長に合わせて歯並びを整えるため、将来の永久歯がきれいに生えるためのスペースをつくることができます。
抜歯のリスクを減らせるのも大きなメリットです。
整えられる
顎の成長期に治療を行うことで、顔全体のバランスや輪郭に良い影響を与えられます。
将来の横顔や口元の印象を自然に整えられるのは、小児期ならではのメリットです。
改善につながる
指しゃぶりや口呼吸など、歯並びや顎の成長に悪影響を与える癖を早期に改善できます。
呼吸や姿勢が整い、全身の健康維持にもプラスの効果が期待できます。
予防につながる
歯並びがデコボコのままだと歯磨きが難しく、むし歯や歯肉炎の原因になります。
小児矯正で歯が磨きやすくなることで、清潔な口内環境を保ちやすくなります。
負担を軽減できる
大人になってから矯正を始める場合に比べ、子どものうちに治療をしておくと期間や費用の負担を減らせるケースがあります。
成長期だからこそできる効率的な治療です。
矯正担当医がきめ細やかに対応いたします
土曜日:9:00~12:30 / 13:30~16:30
休診日:水曜日・日曜日・祝日
- 自分の歯並びに自信がない
- 矯正治療したいが迷っている
- 治療期間や費用、痛みなどが気になる
- 治療実績のある歯科医師に相談したい
TYPES 当院で可能な矯正治療

歯の裏側にブラケットを装着して矯正する方法です。
上の歯は裏側、下の歯は表側に装着するため、笑ったときに装置が目立ちにくく、人前に出るお仕事の方にも安心して選んでいただけます。

歯の表面にブラケットをつける一般的な矯正方法です。
セラミック製のブラケットを使用することで歯の色に近く、金属よりも目立ちにくいため、見た目に配慮しながら治療を進められます。

透明なマウスピースを使用する矯正方法です。
取り外しが可能で食事や歯磨きの際にも快適に過ごせます。
装着していてもほとんど目立たないため、周囲に気づかれずに治療を進めたい方におすすめです。

柔らかいマウスピース型の装置で、主に受け口のお子様に使用します。
5~6歳頃から始められ、成長期に顎のバランスを整えることで、将来の歯並び改善につなげることができます。

歯が並ぶスペースを確保するために使用します。
固定式や取り外し式があり、バネやネジを調整しながら顎を広げます。
抜歯をせずに矯正できる可能性を広げる治療法です。

上顎の成長を促し、下顎の成長を抑えるために使います。
おでこと顎に装置を固定し、ゴムで上顎を前に引っ張る方法で、受け口や上顎が小さいお子様によく使用されます。

細いバネを利用し、1~2本の歯の位置を整える装置です。
固定式なのでご自身で外すことはできません。
装着直後は違和感がありますが、次第に慣れて日常生活に支障は少なくなります。

永久歯の前歯にブラケットをつけ、奥歯とワイヤーで連結する装置です。
混合歯列期で前歯のみに問題がある場合に用いられ、乳歯には負担をかけずに前歯の位置を整えます。

舌を前に突き出す癖(舌突出癖)を防ぐ装置です。
舌の習慣が歯並びの乱れにつながることがあるため、筋機能訓練とあわせて使用し、正しい舌の位置を習慣づけていきます。

ネジを調整して短期間で顎を広げる装置です。
歯並びのスペース不足を改善し、将来的に抜歯をせずに矯正ができる可能性を高めます。
成長期に大きな効果を発揮します。
FLOW 矯正治療の流れ

初回カウンセリング
まずは今のお悩みやご希望を丁寧にお伺いします。
その上で、考えられる治療法の種類や大まかな期間・費用の目安をご説明します。
疑問や不安を解消してから次のステップに進めますので、初めての方でも安心です。

精密検査
レントゲン撮影やお口の中の写真撮影、歯型の採取を行い、歯並びや顎の状態を詳しく確認します。
むし歯や歯周病の有無もチェックし、治療に影響が出ないかも確認します。

治療計画のご提案
検査結果をもとにコンピューターで分析し、患者様に合わせた治療計画をご提示します。
使用する装置の種類、治療期間、費用の総額、考えられる副作用まで詳しくお伝えします。
ご納得いただいてから治療を始めます。

治療開始
矯正装置を装着し、月に1回ほど通院していただきます。
調整を重ねることで歯を少しずつ動かしていきます。
期間は最短で半年、長い場合は3年ほどです。
むし歯や歯ぐきの治療が必要な場合は、治療前に行います。

保定(リテーナー)
目標の歯並びに整った後は装置を外し、歯が元に戻らないように保定装置(リテーナー)を使用します。
治療の成果を安定させる大切な期間です。

メンテナンス・定期検診
装置を外した後も、定期的に通院していただきます。
歯並びの後戻りをチェックし、歯磨きやクリーニングを通して健康な状態を維持します。
せっかく整えた歯並びを長く守るためにも欠かさずメンテナンス・定期検診を行います。
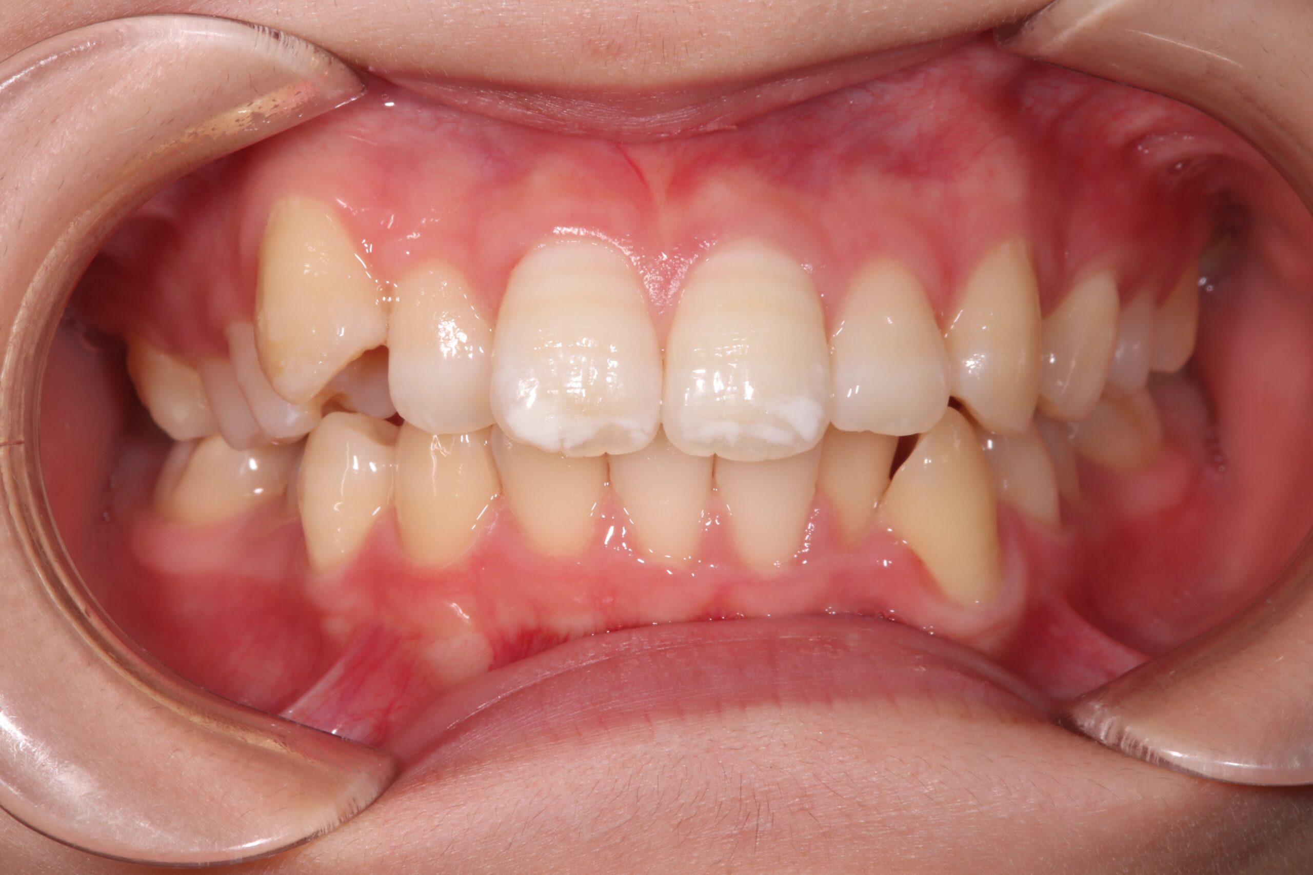
CASE 症例紹介


| 治療内容 | 10代(女性) 主訴:八重歯・ガタガタ・正中のズレ 装置:表側矯正・抜歯 |
|---|---|
| 治療期間 | 2年3ヶ月 |
| 費用 | 装置代680000円+調整代5500円/月+保定装置代55000円+アンカースクリュー2本44000(+抜歯4本分7500円×4本)(税込) |
| 主なリスク | 痛み・歯根吸収・歯髄壊死・後戻り等 |
| 副作用 | 痛み・歯根吸収・歯髄壊死・後戻り等 |


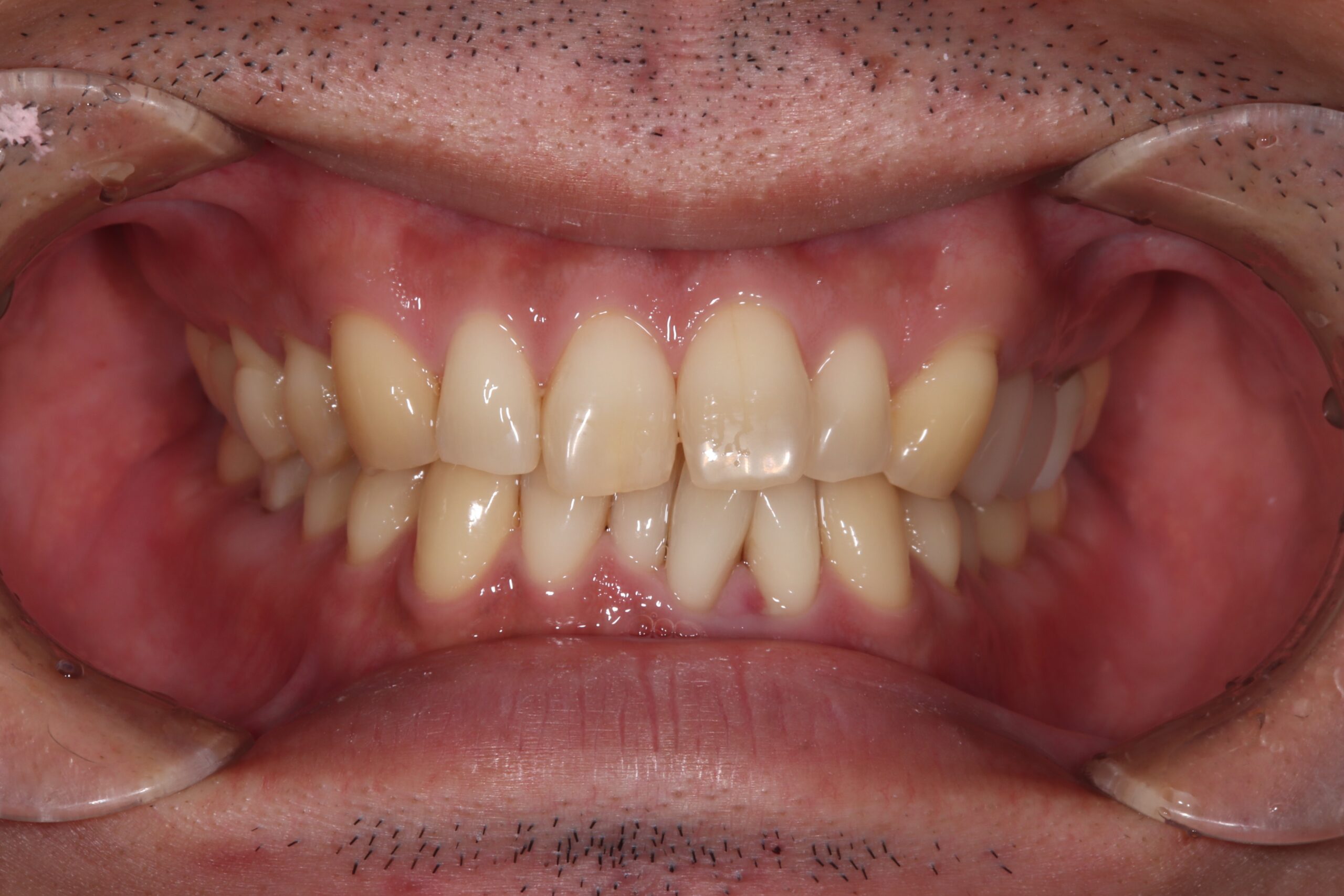
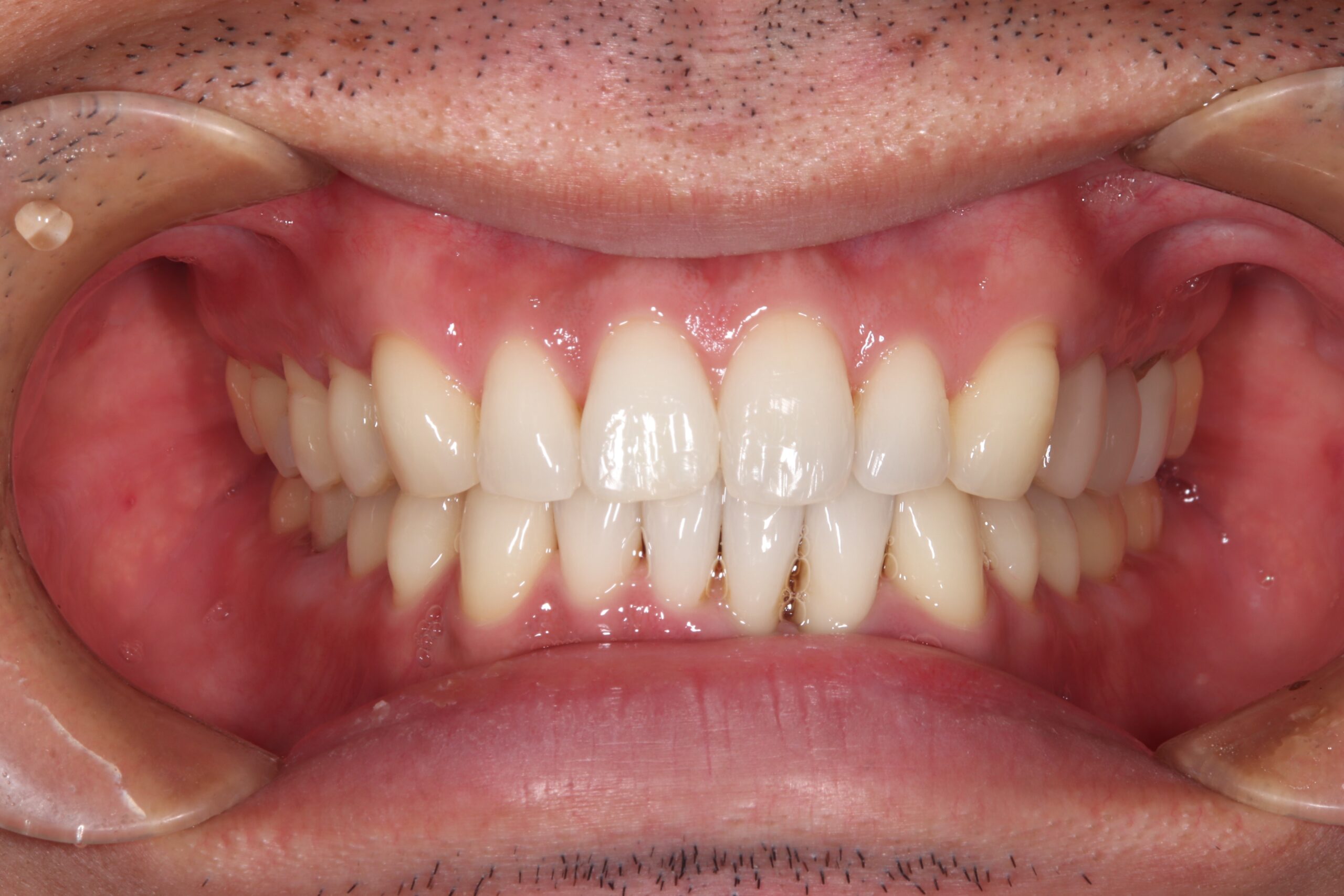
| 治療内容 | 40代(男性) 主訴:出っ歯 装置:表側矯正・抜歯 |
|---|---|
| 治療期間 | 2年6ヶ月 |
| 費用 | 装置代680000円+調整代5500円/月+保定装置代55000円(+抜歯2本分7500円×2本)(税込) |
| 主なリスク | 痛み・歯根吸収・骨吸収・歯髄壊死・後戻り等 |
| 副作用 | 痛み・歯根吸収・骨吸収・歯髄壊死・後戻り等 |


| 治療内容 | 40代(男性) 主訴:ガタガタ 装置:マウスピース矯正(インビザライン) |
|---|---|
| 治療期間 | 1年0ヶ月 |
| 費用 | 装置代800000円+調整代4400円/2か月+保定装置代55000円(税込) |
| 主なリスク | 痛み・歯根吸収・骨吸収・歯髄壊死・後戻り等 |
| 副作用 | 痛み・歯根吸収・骨吸収・歯髄壊死・後戻り等 |


| 治療内容 | 20代(女性) 主訴:前歯で咬めない、開咬 装置:ハーフリンガル |
|---|---|
| 治療期間 | 1年10ヶ月 |
| 費用 | 装置代800000円+調整代6600円/月+保定装置代55000円+アンカースクリュー2本44000(+抜歯4本分7500円×4本) |
| 主なリスク | 痛み・歯根吸収・歯髄壊死・後戻り等 |
| 副作用 | 痛み・歯根吸収・歯髄壊死・後戻り等 |
FEE 費用について
Ⅰ期治療(子どもの矯正)料金表
| 項目 | 費用 | |
|---|---|---|
| 相談料 | 0円 | |
| 診断料 | 38,500円(税込) | |
| 装置代 | 既成装置(ムーシールド等) | 55,000円(税込) |
| 1装置 | 165,000円(税込) | |
| 2装置以上 | 275,000円(税込) | |
| 調整料 | 3,300円/月(税込) | |
| 保定装置代 | 0円 | |
| 管理調整料 | 3,300円/回(税込) | |
Ⅱ期治療(中高生・成人の矯正)料金表
| 項目 | 費用 | |
|---|---|---|
| 相談料 | 0円 | |
| 診断料 | 38,500円(税込) | |
| 装置代 | 表側矯正(白い装置) | 680,000円(税込) |
| ハーフリンガル矯正 | 800,000円(税込) | |
| マウスピース型矯正(インビザライン) | 800,000円(税込) | |
| 部分矯正 | 180,000円~(税込) | |
| 調整料 | 5,500~6,600円/月(税込) | |
| 保定装置代 | 55,000円(取り外し式)(税込) | |
| 管理調整料 | 5,500円/回(税込) | |
その他費用
インプラントアンカー:22,000円/本(税込)
永久歯の抜歯:7,500円~/本(自費)(税込)
Ⅰ期+Ⅱ期を受けられる場合:Ⅱ期装置代から100,000円割引(税込)
お支払い方法
分割払い(20回まで金利・手数料無料)
デンタルローン(最長84回払い可能・金利あり)
クレジットカード払い対応
医療費控除について
矯正治療は医療費控除の対象です。
1年間に支払った医療費が10万円を超えると、確定申告により税金の還付を受けられる場合があります。(所得200万円未満の場合は所得の5%を超えた分が対象)
最大200万円まで控除可能です。
治療保証について
当院では安心して治療を受けていただけるよう、3年間の保証制度を設けています。
万が一、装置に不具合が生じた場合も一定期間は無償で対応いたします。
キャンセルポリシー
当日の無断キャンセルが3回目以降になると、2,200円の調整料が発生いたします。
スムーズな診療のために、ご理解とご協力をお願いいたします。
Q&A よくあるご質問
- 何歳からでも矯正はできますか?
-
はい。30代・40代・50代以上の方も多数通われています。
成長期ではないため顎の骨の調整はできませんが、歯を動かして噛み合わせを整えることは可能です。
日々の生活に支障なく治療できます。 - 裏側矯正やマウスピース矯正は目立ちますか?
- 裏側矯正(ハーフリンガル)は歯の裏側に装置をつけるため上の歯が特に目立ちにくく、マウスピース矯正は透明な素材ですので普段見える部分にはほとんど気づかれません。
- 治療期間はどれくらいかかりますか?
-
個人差がありますが、成人矯正は一般的に半年~3年ほどが目安です。
症例の複雑さや使用する装置によって変動しますので、初回カウンセリングで目安をご提示します。 - 痛みや違和感はありますか?
-
装置装着後や調整時には違和感や軽い痛みを感じることがありますが、数日で慣れる方が多いです。
痛みが強い場合は調整内容を見直すことも可能ですのでご相談ください。 - 矯正中でも普段の生活に支障はありますか?
-
装置をつけて数日は違和感や話しづらさを感じることがありますが、ほとんどの方が1週間程度で慣れて日常生活を問題なく送られています。
スポーツやお仕事、人前での会話も続けながら治療していただけます。
- いつから矯正を始めるのが良いですか?
-
個人差はありますが、乳歯と永久歯が混ざる「混合歯列期」がスタートの目安です。
その時期を逃さないために、お子様の歯並びが気になるなら早めの診察・検診をおすすめします。 - 矯正装置は痛がりますか?学校や生活に支障は?
-
装置をつけた直後は違和感がありますが、数日~1週間ほどで慣れることが多いです。
学校生活や食事・発音なども徐々に順応できるよう調整しますので、親御様と相談しながら進めます。 - 小児矯正で抜歯は必要ですか?
- 顎のスペースが足りないケースでは抜歯が必要になることもありますが、混合歯列期の拡大装置などでスペースを確保できる場合は抜歯を回避できることがあります。
- 装置を使う期間はどのくらいですか?
-
装置の種類や歯並びの状態によりますが、Ⅰ期治療から始める場合は半年~1~2年ほど見ていただくことがあります。
Ⅱ期治療を含めるとさらに期間は長くなることがあります。 - 矯正を始めないとどんな影響がありますか?
-
放置すると噛み合わせの悪さが進み、発音・咀嚼に影響があったり、むし歯・歯周病リスクが高まることがあります。
将来的な口腔の健康や顔立ちにも関わるため、早めの相談が望ましいです。
DOCTOR 矯正担当医師挨拶

「いけだ歯科・矯正歯科クリニック」副院長の池田恵理奈です。
矯正治療は歯並びの見た目を整えるだけでなく、噛み合わせや将来の歯の健康を守るうえでとても重要です。
当院では、お子様の矯正から大人の方の矯正まで、その方に合わせた治療を行っています。
さらに一般歯科も行っているので、矯正だけでなくむし歯や歯ぐきの健康も一緒に見守ることができます。
大学院で培った専門知識を活かし、二児の母としての経験も踏まえながら、患者様が安心して通える優しく丁寧な診療を心掛けています。
歯科医師として、女性として、そして母として、皆さまの笑顔と健康に貢献できるよう努めてまいります。
何でもお気軽にご相談ください。







